Σοκαριστικές ακτινογραφίες ενός ανθρώπου που έχασε τη ζωή από κορονοϊό αποκαλύπτουν πώς η θανατηφόρα ασθένεια καταστρέφει τους πνεύμονες των θυμάτων της.
Ο Κινέζος ασθενής, ο οποίος εργάστηκε στην αγορά θαλασσινών της Wuhan, περιοχή που θεωρείται το εφαλτήριο της επιδημίας, ήταν μόλις 44 ετών όταν πέθανε από τον ιό.

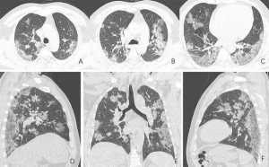
Και τώρα οι γιατροί μοιράζονται σαρώσεις των πνευμόνων του για να αποκαλύψουν την πραγματική έκταση της βλάβης που μπορεί να προκαλέσει το Covid-19.
Ο άντρας εισήχθη στο νοσοκομείο στις 25 Δεκεμβρίου 2019, αφού υπέφερε από πυρετό και βήχα για σχεδόν δύο εβδομάδες, όπου διαγνώστηκε με πνευμονία και σύνδρομο οξείας αναπνευστικής ανεπάρκειας και παρά τις προσπάθειες των γιατρών, πέθανε μόνο μία εβδομάδα αργότερα.
Οι σαρώσεις του, που δόθηκαν στη δημοσιότητα από την Ακτινολογική Εταιρεία της Βόρειας Αμερικής, δείχνουν λευκά στίγματα στις κάτω γωνίες των πνευμόνων του, πράγμα που υποδηλώνει τη μερική πλήρωση των αεραγωγών.
Και όταν συγκρίνουμε την εικόνα Α με την εικόνα F, δείχνει πώς το υγρό στους χώρους των πνευμόνων του ανθρώπου έγινε πιο έντονο με την πάροδο του χρόνου.
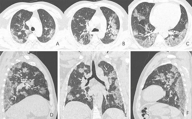
Οι γιατροί λένε ότι αυτές οι ανωμαλίες που εντοπίστηκαν είναι παρόμοιες με εκείνες που εντοπίζονται σε ασθενείς που πάσχουν από παρεμφερείς αιτίες σοβαρών οξέων αναπνευστικών συνδρόμων (SARS) και αναπνευστικού συνδρόμου στη Μέση Ανατολή (MERS).
Και οι δύο κατηγοριοποιούνται ως κοροναϊοί και το SARS είχε ως αποτέλεσμα 8,000 περιπτώσεις και 774 θανάτους στην Κίνα από τον Νοέμβριο του 2002 έως τον Ιούλιο του 2003.


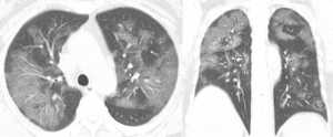
Άλλες σαρώσεις μιας 54χρονης γυναίκας που προσβλήθηκε από τον κορονοϊό μετά από ταξίδι στο Γουχάν, δείχνουν επίσης την ίδια μερική πλήρωση των αεραγωγών.
Η γυναίκα διαγνώστηκε με σοβαρή πνευμονία που προκλήθηκε από τον ιό μετά από πυρετού, βήχα, κόπωσης και θωρακικής συμφόρησης.
Είχε τα συμπτώματα για μια εβδομάδα και της δόθηκε οξυγόνο και αντιβιοτικά.

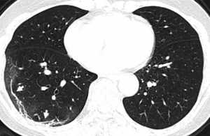
Ομοίως, η ανίχνευση μιας γυναίκας ηλικίας 45 ετών από την επαρχία Σιτσουάν στην Κίνα, η οποία έδειξε θετικό αποτέλεσμα για το COVID-19 μετά την επιστροφή της από την Ιαπωνία, δείχνει λευκά μπαλώματα και ένα «ανάστροφο σημάδι φωτοστέφανο» στον αριστερό άνω λοβό του πνεύμονα.

Ο Παγκόσμιος Οργανισμός Υγείας (WHO) δήλωσε επισήμως την έκρηξη του Covid-19 μια πανδημία χθες – καθώς ο αριθμός των ασθενών που προσβλήθηκαν από την ασθένεια έπεσε πάνω από 112.000.
Οι υπεύθυνοι για την υγεία λένε ότι ο καλύτερος τρόπος για να προστατευθείτε είναι να πλύνετε τα χέρια σας με σαπούνι και νερό για το χρόνο που χρειάζεστε για να τραγουδήσετε τα Happy Birthday δύο φορές.
Το Happy Birthday διαρκεί περίπου 20 δευτερόλεπτα και όταν το τραγουδήσει κάποιος δύο φορές λέγεται ότι είναι ο τέλειος χρόνος για να καθαρίσετε καλά τα χέρια σας.
Πηγή: thesun















